Le Pays De France - Un ver qui parasite les serpents découvert dans le cerveau d'une Australienne

Paris -
Un ver qui parasite les serpents découvert dans le cerveau d'une Australienne
Un ver qui parasite les serpents découvert dans le cerveau d'une Australienne / Photo: © Université nationale australienne/AFP

Un ver qui parasite les serpents découvert dans le cerveau d'une Australienne

Un ver rond, qui parasite généralement les serpents, a été découvert pour la première fois sur un être humain, extrait "vivant et se tortillant" du cerveau d'une Australienne lors d'une intervention chirurgicale, ont annoncé mardi des médecins australiens.

Taille du texte:

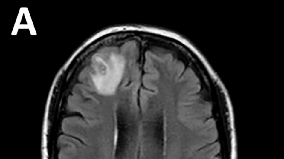
Les médecins ont découvert une "lésion atypique", grâce à un examen IRM, dans la partie frontale du cerveau de l'Australienne, âgée de 64 ans, qui souffrait de pertes de mémoire.

Il s'agissait d'un Ophidascaris robertsi, un ver rond de huit centimètres qui, selon les chercheurs, est un parasite des kangourous et des pythons, en Australie. Il parasite des animaux dans d'autres régions du monde, mais il n'avait encore jamais été détecté sur un être humain.

"Il s'agit du tout premier cas humain d'Ophidascaris décrit dans le monde", a déclaré le docteur Sanjaya Senanayake, spécialiste des maladies infectieuses.

"À notre connaissance, c'est également le premier cas impliquant le cerveau d'une espèce de mammifère, humaine ou autre", a-t-il précisé.

Cette découverte a fait l'objet d'un article dans la revue "Emerging Infectious Diseases".

Les scientifiques pensent que l'Australienne a été parasitée par des plantes comestibles, probablement contaminées par des larves présentes dans des excréments de serpents.

Le parasite, dont la "structure en forme de fil" est apparue sur les scanners cérébraux, a ensuite été identifié grâce à des tests ADN.

"Il n'est jamais facile ni souhaitable d'être le premier à être malade de quoi que ce soit au monde", a ajouté le Dr Senanayake, "je ne saurais trop exprimer notre admiration pour cette femme, qui a fait preuve de patience et de courage tout au long de ce processus."

Selon le Dr Senanayake, il est "probable que d'autres cas soient identifiés à l'avenir".

(A.Laurent--LPdF)